義歯
入れ歯で噛めない、はずれてしまう、食べカスがつまりやすい
入れ歯でこんな悩みを抱えている人は多いと思います。
入れ歯を成功させる秘訣としては、全体の噛み合わせのバランスを整えることが非常に大切となってきます。
歯がなくなったところに入れ歯を作ればそれで良いというわけではありません。
入れ歯をひっかける歯の治療を行ったり、反対側の歯の噛み合わせを整えたりすることが入れ歯の成功には必要不可欠です。
入れ歯をいれる歯ぐきの状態が整っていること、入れ歯のバネをひっかける歯の状態が万全であること、しっかりフィットした入れ歯を作ること、なども大切な要素となってきます。
また入れ歯にはいくつか種類があるため患者様の要望に沿って作製する入れ歯を材質や設計を考えます。
保険の部分入れ歯(部分床義歯)
何本かの歯がなくなった時に作製します。
主にバネを残っている自分の歯にひっかけることにより入れ歯を安定させます。
バネをひっかける歯を鉤歯と言い、鉤歯がしっかりしているほど入れ歯は安定します。逆にぐらついて弱っている歯はあまり鉤歯としては役割を果たすことができません。
保険の部分床義歯のメリットとしては、比較的安価に作製することができる、ブリッジと比べあまり歯を削らなくても良い場合が多い、などが挙げられます。デメリットとしては、毎回取り外して清掃しなければならない、鉤歯に負担がかかり自分の歯の寿命が短くなる、金属のバネが見えるため見た目が悪い、入れ歯の性質上どうしても歯ぐきと入れ歯の間にものがはさまる、などが挙げられます。
自費の部分入れ歯(ノンクラスプデンチャー)
保険の入れ歯は金属のバネが見えるため見た目が悪く、いかにも「入れ歯をしています!」ということがわかりますが、ノンクラスプデンチャーはバネに金属を使用していないためほとんど入れ歯ということがわかりません。
また保険の入れ歯と比べ、より入れ歯の精度が高いためフィットが良いという利点もあります。
保険の入れ歯と比べやわらかい素材のため、症例によっては作製できなかったり、金属で補強する必要があったりしますので、担当医とよく相談してください。
義歯による全体的な噛み合わせ治療
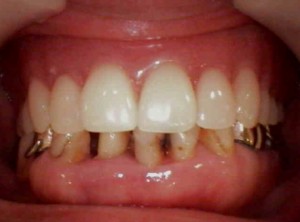
上の義歯が合わず、噛むたびに痛みがありました。
また下の入れ歯もろくに使えず、前歯もボロボロになっていました。
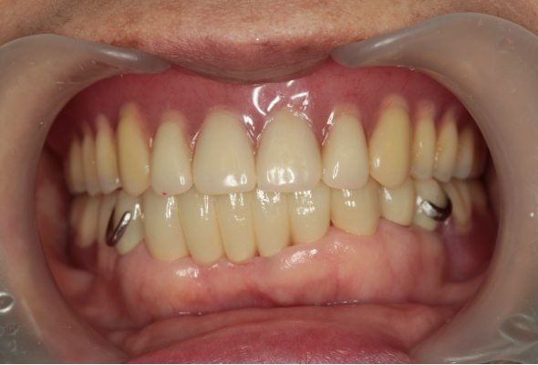
前歯の歯周病治療と、入れ歯を新しく作り直し噛み合わせを良くすることで、とても楽しく食事をすることができるようになりました。
-

作成前
-

新規作成後の調整中


