症状:歯ぐきから血が出る、膿が出る、歯ぐきが腫れる、歯ぐきが痛い、歯が揺れる、口の中が匂う、歯が痛い、噛むと痛い
歯周病
-
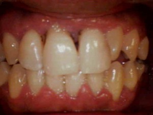
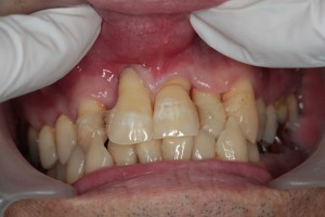
治療前の歯ぐき

歯ぐきが赤く腫れています
-
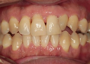
治療後の歯ぐき

きれいなピンク色の引き締まった歯ぐき
歯周病とは、細菌やプラーク(歯の汚れ)、歯石が原因となり、歯ぐきの中にある歯を支えている骨を溶かしてしまう病気です。
しかも、ほとんど自覚症状のないまま進行し、気付いたときには手遅れ・・・ということも少なくありません。
症状とはしては、歯ぐきから血や膿が出る、歯ぐきが腫れる、歯ぐきが痛い、歯が揺れる、口臭がある、歯が痛い、噛むと痛い、などが挙げられます。
-
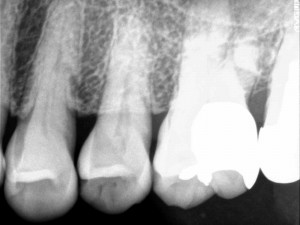
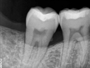
健康な骨

-
歯周病で溶けた骨

歯周病はサイレントキラーとも呼ばれ、本人が気付かないまま、歯ぐきの中の骨を溶かしていってしまいます。
末期になってはじめて痛みや腫れ、歯の揺れといった症状が起こることが多いので、非常に恐ろしい病気と言えます。
健康な骨であれば、歯を十分に支えることができるため、揺れて抜け落ちてしまうこともありません。しかし歯周病が進んでいくと、歯の周りの骨が溶けて歯を支えることができなくなってしまうため、歯が揺れてきて、ついには抜け落ちてしまいます。
治療
まずは予防として日々の歯みがきが非常に大切になります。正しい歯みがきを行うことで、歯の周りの汚れや細菌を物理的に除去することができます。
どんな歯医者できれいにしてもらっても毎日の歯みがきを疎かにしてしまっては何の意味もありません。
1日も経てば、汚れはびっしりついてしまいます。
人それぞれ歯並びやお口の中に入っているかぶせものも違いますから、我々プロである歯科医師や歯科衛生士が正しい歯みがきの仕方をアドバイスさせていただきます。
-
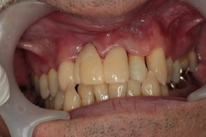
歯石取り前

-
歯石取り後

では、歯みがきだけしていれば歯医者に行かなくて良いかというと決してそうではありません。
唾液の中や飲食物の中にはカルシウムやリンが存在しており、それが汚れと合体すると歯の表面に石が付着してきます。これが歯石です。
歯石の表面は非常にザラザラしているため、さらに汚れや歯石が付きやすくなります。よってそのままにしていると歯ぐきは炎症を起こし、歯周病が進んでいく原因となってしまいます。
歯石取り後の写真を見てもらってもわかるように、歯ぐきが炎症を起こし赤くなっていることがわかります。
歯石取り後は歯の表面をピカピカに磨き上げ、汚れや歯石がつきにくい状況をつくります。
コーティングを施したピカピカの車は汚れが付きにくいですよね?
それと同じ原理です。
ただし、ヒトは生きていくために毎日ごはんを食べますから、次第に歯の表面はざらついてきて、歯石がついてきます。
2〜3ヶ月に一度歯医者に行き、定期検診でクリーニングしてもらうことがとても重要です。
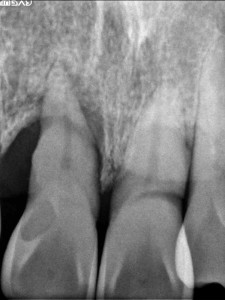
-
歯ぐきの中に歯石が付着し、周りの骨が溶けています

さらに歯周病が進んでくると歯ぐきの中にも歯石や汚れがたまってきます。
歯石や汚れは「歯周病菌の基地」のようなものなので、歯ぐきの中に歯石があると歯周病菌による歯を支える骨が直接攻撃されてしまい、比較的早く骨が溶けていってしまいます。
これらは歯みがきだけでは決して取ることができないため、より専門的なクリーニングが必要になってきます。
いわゆるSRP(スケーリングルートプレーニング)と言われ、歯ぐきの中の歯石や汚れを細かい超音波の器具や、手用の繊細な器具を用いて除去していきます。歯石が取れたら、ざらついている歯の表面を滑沢に磨き上げます。
私たち、おばた歯科医院のスタッフは痛くない無痛治療を心掛けています。
場合によっては、歯ぐきの中の深いところをクリーニングするため、痛くないように表面麻酔などをして治療することも考えております。
-
歯ぐきを開いてクリーニング

歯周病がひどく、SRPだけでは対処できないこともあります。
その場合は歯ぐきを開いて、歯ぐきの中が見える状態で徹底的にクリーニングを行います。
これを専門的にFOP(フラップオペレーション、歯肉剥離掻爬術)と言います。
揺れている歯に対しては接着材やつながったかぶせものを入れることにより、固定を行い、歯が長持ちするように処置をしていきます。
-
歯を接着剤で固定

-
つながった仮歯で固定

歯の周りの汚れや歯石を除去して、きれいになると歯ぐきの炎症が治まってきます。
しかし、歯周病の進行した歯は支えてくれる骨が少ないため、そのままでは噛むたびに揺れて痛んだり、負担に絶えられず、再び炎症を起こしてきてしまいます。
そのため、しっかり歯が機能するように全体の噛み合わせの調整を行ったり、つながったかぶせものを入れて、歯と歯を固定して揺れない状態をつくります。
歯周病の治療を行い、噛み合わせを整えて、最終的なかぶせものでつなげて歯を守っています。
健康的な引き締まったピンク色の歯ぐきになっています。
その後は、定期的なメインテナンス(2〜3ヶ月に一度の定期検診)を行い、歯ぐきの状態をチェックしたり、噛み合わせの確認を行ったりして末永くご自身の歯が使えるように管理をしていきます。

