症状:しみる、ものがはさまる、穴が開いている、黒くなっている、噛むと痛い、何もしなくても痛い
歯医者に行く一番の理由、何を思い浮かべますか?
そう、虫歯です!
ただし、虫歯とは言え、大きさや症状により、実に様々な治療法があります。
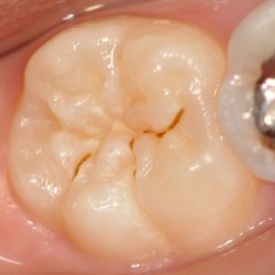
虫歯のなりかけ(C0)


症状はとくにありません。 よく見ると少し溝が着色していたり、白く濁った色をしている程度です。
治療
このくらいのいわゆる虫歯のなりかけの状態であれば、しっかり歯みがきをしてもらっていれば大きくなりません。
必要に応じてフッ素を塗るのも有効な手です。
また、歯の溝が深く、食べ物がたまって、今後虫歯に移行しやすい部位などはシーラントと言われる予防のつめものを行います。
これは歯を削らず行うことができ、フッ素も入っているため、健康な歯を維持していくためにはかなり有効な手段と言えます。
-
当院で使用している中性フッ素

-
シーラント処置前

-
シーラント処置後

虫歯のなりかけであれば再石灰化と言われる歯の再生も見込めるので、むやみに歯を削らず、定期検診で歯の状態をチェックしていきます。
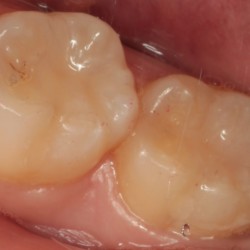
エナメル質の虫歯(C1)
基本的にしみる、痛い等の症状はありません。 歯の表面上に虫歯による着色があり、エナメル質が少し溶けている状態です。 場合により、溶けているところに汚れがたまりやすかったり、見た目が悪く気になったりということがあります。
治療法
基本的には丁寧な歯みがきを心掛けて、定期検診ではの状態をチェックしていきます。 必要に応じて、フッ素を塗るのも有効な手段です。 食べ物がたまりやすかったり、見た目上気になる場合は、小さな虫歯を削り、シーラントやコンポジットレジン修復(白いプラスチックのつめもの)を行います。
-
歯とつめものの隙間の虫歯

-
コンポジットレジン修復後

象牙質の虫歯(C2)
歯の鎧であるエナメル質を超えて、その中の象牙質に及んだ虫歯の状態です。 症状は、なにもない場合もあれば、冷たいものや甘いものがシミる、噛むと痛い、ものがはさまる、見た目が悪い、などが挙げられます。
治療法
虫歯をきれいに削り、コンポジットレジン修復、もしくは型取りをして、インレーと言われる金属やセラミックスのつめものを入れて治します。
-
①虫歯があります

-
②虫歯を削り型取りします

-
③インレーを入れます

-
①金属下に虫歯があります

-
②虫歯を取り形を整え、型取りをします

-
③セラミックスインレーを装着(保険外)

その後、実際にお食事をして、噛み合わせが問題ないか確認してください。
必要に応じて噛み合わせの調整を行います。また虫歯が大きい場合、虫歯を取った時の刺激で数日シミたり、痛むことがありますが、基本的には歯の神経が馴染んでくると症状はなくなりますのでご安心ください。しかし、あまりにも症状が消えない場合は神経の処置が必要になります。
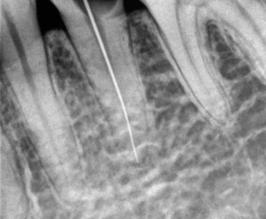
歯の神経に至る虫歯(C3)
象牙質の虫歯がさらに広がると、歯の神経(歯髄)に到達し、場合によっては激痛が起こってきます。
症状としては、熱いものや冷たいものがとてもシミる、食べ物がはさまると痛い、何もしなくてもズキズキと痛い、などが挙げられます。
ここまでになるとほとんどの人は自覚症状があるため、さすがに歯医者に行こうとなりますが、実は歯髄まで虫歯が到達していると治療は非常に大変になります。
治療法
① 虫歯を全て削ります。歯の根っこの中には歯髄があり、歯髄は虫歯菌により感染を起こしているため、細い針のような器具で歯の根っこの先まできれいに歯髄を取り除きます。
② 神経をきれいに取り除いたら、消毒薬を入れ、仮フタをして1日目は終わります。
歯の根っこの先で神経を切っているため、根っこの先に小さな傷口があるような状態となります。
当日は麻酔が切れたら、痛みがある可能性があるため痛み止めをお渡し致します。
またその歯で噛むと、根っこの先の傷口まで響くため、痛みがあったり、仮フタが取れて根っこの中に汚れが入ってしまったり、歯が割れてしまうこともあるため、絶対に噛まないようにしてください。
③ 歯の根っこの中の消毒が完全に終わり、症状もなければ、防腐剤(充填材)を隙間のないようきれいにつめます。
④ 土台(コア)をいれて、虫歯を取って空洞になっている歯を補強します。
⑤ かぶせものを入れて治療が完了します
-
治療前:大きな虫歯です

-
治療後:セラミックスクラウン(保険外)

歯の根っこしか残っていない虫歯(C4)
虫歯がさらに進行して、歯のほとんどが虫歯でなくなってしまった状態です。
ここまで進行すると、歯髄は完全に腐ってしまい、感染を起こしているため、根っこの先で膿がたまっています。
症状としては、何もしなくてもズキズキ痛い、膿がたまり歯ぐきが腫れる、歯がないため噛むことができない、などが挙げられます。
治療法
歯の残り具合と、感染の状態が軽度であれば、歯の根っこの治療を行い、土台を入れてかぶせることができる可能性もあります。
しかし、ほとんどの場合は歯を保存することが不可能なため、基本的には抜歯になることが多いと言えます。
虫歯は放置しておくとどんどん進行して最後には抜歯になってしまうことがおわかり頂けましたでしょうか? 虫歯になってしまったら、頑張って歯医者に通って治しましょう。
そして、これからは虫歯になる前に定期検診をこまめに受け、虫歯がないかどうか見てもらい、予防をしていくことが非常に大切となります。
私たちおばた歯科医院 は2〜3ヶ月の定期検診を患者様におすすめしております。
-
奥歯に多くの虫歯を認めます

-
きれいな歯になりました!














