インプラント
虫歯や歯周病で歯が失ってしまった場合、あなたはどうしますか?
およそ3つの選択肢があります。
1つ目は残っている歯にバネをはめて固定する入れ歯、
2つ目は隣り合った両サイドの歯を削りつながったかぶせものをするブリッジ、
そして3つ目が人工歯根を入れて歯を作るインプラントです。
-
入れ歯

保険でも作製可能。 ほぼ歯を削らず済みます。 残っている歯に金属のバネをひっかけ、入れ歯を支えます。 バネをかけている歯に負担がかかったり、入れ歯と歯ぐきの間に食べ物がはさまったりします。 入れ歯は噛む多少動くためご自身の歯のようにしっかり噛むことはできません。 またバネがかかるため見た目が悪い場合があります。
-
ブリッジ

保険でも作製可能。 両隣の歯を削り、つながったかぶせものを入れます。 入れ歯のように取り外しの不便さはありませんが図のように両隣の歯で失われた歯の部分も支えるため普段より大きく負担がかかります。 そのため早く歯がダメになる可能性があります。
-
インプラント

最もご自身の歯と近い感覚で噛むことができるようになります。 顎骨の中にインプラントと言われる人工歯根を埋め込み、その上に土台とかぶせものを入れます。 バネを引っかけたり、両隣の歯を削ることもないので周りの歯を守ることにもなります。 術前にCT等の精密検査が必要になります。
治療
①抜歯したところが十分に治癒するのを待ってからインプラント手術を行います。
②術前にCTや診断様模型を用い、インプラント手術計画を十分に行います。
③虫歯の治療と同じ局所麻酔を用いインプラント手術を行います。比較的簡単な症例であれば30分以内で手術は終了します。痛みや腫れもほとんどありません。
④インプラントが骨とくっつくまで約2〜3ヶ月待ちます。インプラントの治癒が確認できたら、型取りを行いアバットメントと言われる土台を装着します。その上にかぶせものを装着したら治療完了となります。
症例①
左下奥歯が割れて抜歯になったため、インプラント治療を行いました。
症例②
左上犬歯を失ってしまったため、インプラント治療を行いました。
今回はインプラントを支える骨が足りなかったため、GBRと言われる骨造成術を行って、無事きれいな歯をかぶせることができました。
症例③
上前歯と右上奥歯が失われたためGBRとソケットリフトと言われる骨造成を行い、インプラント治療で歯を入れました。
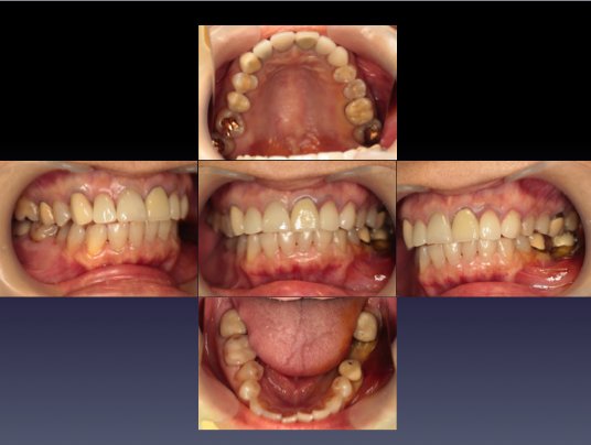
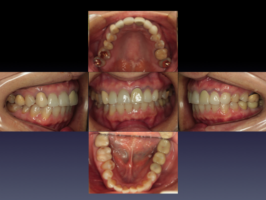
症例④
複数の歯に及び歯が失われているためCT画像上で診断と設計を行い、理想的な位置に歯を作ることができるように、サージカルガイドと言われるインプラント手術補助用マウスピースを用いてインプラント手術を行った。
-
手術の精度を更に上げるサージカルガイド

-
術前レントゲン写真

-
術後レントゲン写真

-
術前CT

-
術後CT

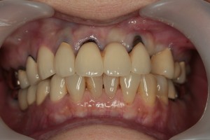
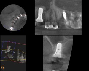
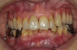
症例⑤
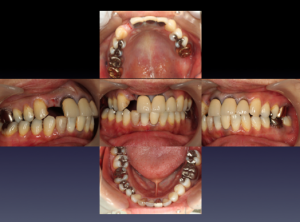
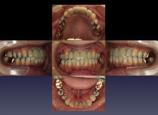
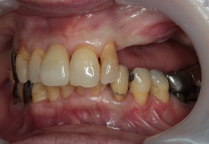
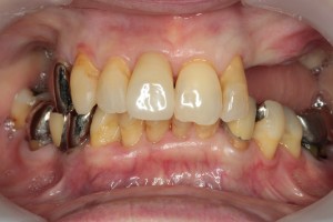
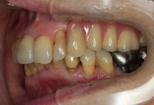
上左右の奥歯を失ってしまったため、保険の入れ歯を入れたが、違和感が強く、しっかり噛むことができないため、インプラントを併用した入れ歯を作ることで違和感なく、しっかり噛むことができるようになった。 また通常の入れ歯は、はずれないようにするため金属のバネを歯に引っ掛けるため見た目も悪いが、インプラントによって固定されているためバネもなく、見た目も非常に良いものとなっている。
術前
-
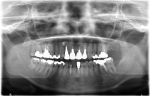
術前レントゲン写真

-
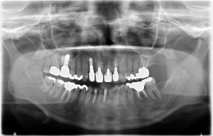
術後レントゲン写真

今日、歯を失ってしまった際には様々な治療法があり、インプラントによって治療の選択肢の幅が格段に増えました。
もちろん患者さんの口腔内の状態やその方の希望は異なりますので、すべてにおいてインプラントが勝っているわけではありません。
費用も保険がきかないため、決して安いものではありません。
しかし、その後の人生、常に歯を気にしたり、不安に感じながら生活していては美味しいごちそうや、大切な人とのディナーも美味しくありませんし、楽しくありません。
よく、「わたしはもう歳だから。」とおっしゃる方もいらっしゃいますが、インプラントはその後の余生をとても豊かなものにします。ご家族との食事もとても楽しいものになりますし、入れ歯では叶わなかった、人目を気にせずお友達と会話や食事をしたり、旅行に行ったりすることもできます。
一度、そんなことを考えながらどのような治療を選ぶか、今後の治療相談をしてみてください。
きっと、あなたにとって最適な方法が見つかるかと思います。



























