
こんにちは!おばた歯科のスタッフです🦷
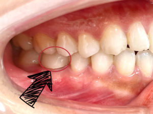
右下奥の銀歯の見た目が気になっていたので院長にご相談しました!数回の治療を経て憧れの白い被せ物に✨院長とお話をして私は自費の被せ物を入れることにしました!
保険のものと比べると費用は高くなってしまいますがその分魅力もたくさんあります✨
1.強度、耐久性が高い
2.色が白く透明感があり審美的
3.変色が少ない
4.汚れがつきにくく、清潔に保てる
5.経年劣化しにくいので虫歯になりにくい
6.金属アレルギーでも大丈夫
笑った時に見える白い歯って素敵ですよね✨
白い歯になって嬉しいです😆✨
※部位によっては保険治療ができない場所があります。詳しくはスタッフまで!!
#歯医者
#検診
#治療中断
#インプラント
#矯正治療
#矯正歯科
#審美歯科
#ホワイトニング
#入れ歯
#義歯
#虫歯治療
#保育士
#託児あり
#駐車場あり
#駅近
#衛生士さん募集中
#名古屋市守山区歯医者
#名鉄小幡駅からか
