おばた歯科・矯正歯科の成人矯正|名古屋市守山区の歯医者

〒463-0047
愛知県名古屋市守山区小幡常燈804

成人矯正 ORTHODONTIC

成人矯正について

美しさと機能性を両立する
矯正治療をご提供します

成人矯正は、歯並びや噛み合わせを整えることで、見た目の改善だけでなく、むし歯や歯周病の予防、顎や筋肉への負担軽減にもつながります。年齢やお口の状態に合わせた方法で、自然な笑顔と快適な噛み心地を目指して治療を進めます。名古屋市守山区にある当院では、成人矯正に関する無料相談も行っておりますので、気になる症状があればお気軽にご相談ください。

TROUBLE このような場合はご相談ください

歯並びがガタガタ

前歯が出ている

下あごが出ている

すきっ歯

噛み合わせのズレ

噛み合わせが深い

前歯が噛み合わない

当院の成人矯正

日本矯正歯科
学会認定医
監修

日本矯正歯科学会認定医が支える
安心の矯正治療

大人のかたの矯正治療では、歯や骨の状態だけでなく、日常生活やご希望に配慮しながら治療を進めることが大切です。当院では、日本矯正歯科学会認定医の協力のもと、一人ひとりのお口の状態を丁寧に確認し、無理のない治療計画をご提案しています。不安やご希望をしっかり伺いながら、納得して治療を進めていただけるようサポートいたします。

専門的な判断で進める便宜抜歯

成人の矯正治療では、歯並びや噛み合わせを整えるために「便宜抜歯」が必要になる場合があります。当院では、歯や骨の状態、治療の目的、ライフスタイルなどを総合的に判断し、専門的な視点から慎重に検討します。抜歯が必要かどうかは、患者さまのご希望も伺いながら一緒に治療方針を決めていきますので、どうぞ安心してご相談ください。

口腔内スキャナー(iTero)を導入する
メリットをご紹介!

口腔内スキャナー(iTero)は、負担の少ない精密な歯型採取を可能にするデジタル機器です。歯並びを立体的に記録し、精密なデータを基に治療を進めることができます。矯正治療は歯を少しずつ動かしていく治療のため、最初に取得するスキャンデータの精度が仕上がりに大きく影響します。口腔内スキャナー(iTero)を使用することで、マウスピースのフィット感や精度が高まり、ズレや作り直しのリスクを減らすことができます。

精密なスキャンで
適合精度が高い

歯並びをミクロン単位で立体的に読み取ることができ、マウスピースとのズレを可能な限り抑えられます。高精度のデータに基づいて治療計画を立てられるため、治療の効率や快適さが向上します。

シミュレーションで
治療後のイメージがわかりやすい

スキャンデータをもとに、歯の動きや最終的な仕上がりを3Dシミュレーションで確認できます。歯並びがどのように整っていくのかを視覚的に把握でき、治療への理解と安心感につながります。

嘔吐反射が出にくく
快適に型取りができる

従来のように粘土状の印象材を使用する必要がなく、お口の中を軽くなぞるだけでスキャンが完了します。嘔吐反射のあるかたや、長時間口を開けることが苦手なかたでも、負担の少ない型取りが可能です。

経過の“見える化”で
変化に気づきやすい

お口の状態を写真や数値で記録・比較することで、治療やケアの効果を“見える化”できます。小さな変化にも気づきやすくなり、患者さまご自身が改善を実感しやすくなるため、予防や治療への意欲向上にもつながります。

治療期間の短縮を目指す
光加速矯正という選択肢

PBMオルソヒーリングは、近赤外線の光を利用した光加速矯正装置です。矯正治療と併用することで、歯の移動を支える歯周組織の働きをサポートし、治療期間の短縮を期待できます。また、治療中の痛みや違和感の軽減につながることもあります。マウスピース型の装置のため、ご自宅で無理なく使用でき、日常生活への影響を抑えやすい点も特徴です。当院では治療の進行状況や患者さまのご希望に応じて導入をご案内していますので、お気軽にご相談ください。

PBMオルソヒーリングは薬機法の対象外です

01 未承認医療機器であること
PBMオルソヒーリングは、薬機法上の承認を受けていない光加速矯正装置です。
医療機器としての承認は取得していません。

02 国内の承認医薬品等の有無
近赤外線の光を用いて矯正治療を補助する装置には、PBMオルソヒーリング以外にもさまざまな種類が存在しますが、同様の目的で使用される装置の中には、薬機法上の承認を受けていないものも含まれます。

03 諸外国における安全性等に係る情報
PBMオルソヒーリングは、海外において矯正治療の補助を目的とした光加速装置として使用されています。近赤外線を用いた治療機器は、矯正治療分野を含むさまざまな医療分野で活用されています。
※安全性や効果については、個人差があります。

04 入手経路等
PBMオルソヒーリングは、正規の提供元を通じて入手しています。
当院では、歯科医師の判断のもと、必要に応じて本装置を矯正治療の補助として使用しています。

05 医薬品副作用被害救済制度について
PBMオルソヒーリングは、薬機法上の承認を受けた医療機器ではないため、
万が一、重篤な副作用が生じた場合でも、国の医薬品副作用被害救済制度の対象外となります。

装置の種類

ブラケット矯正
クリアブラケット

歯の色になじみやすい透明な素材で作られた装置です。装着していても目立ちにくく、金属製の装置と同程度の矯正力が期待できます。人前に出る機会が多いかたでも、見た目を気にせず選びやすい矯正方法です。

マウスピース矯正
マウスピース矯正
(インビザライン)

透明なマウスピースを段階的に交換しながら、少しずつ歯を動かしていく矯正方法です。取り外しが可能なため衛生管理がしやすく、通院回数も比較的少ないのが特徴です。仕事や日常生活への影響を抑えながら、無理なく矯正治療を進めたいかたに向いています。

マウスピース型矯正装置(インビザライン)は薬機法の対象外です

01 未承認医療機器であること
インビザライン®は薬機法上対象外の医療機器です。
医療機器としての矯正装置に該当しないため薬機法上の承認を得ていません。
マウスピースに使用される材料そのものは薬事承認されておりますので、安全にご使用いただけます。

02 国内の承認医薬機器等の有無
マウスピース型矯正装置はインビザライン®のほかにも様々な種類があります。その中には、条件を満たして薬事承認されているマウスピース型矯正装置も国内でいくつか存在しています。

03 諸外国における安全性等に係る情報
1998年にFDA(米国食品医薬品局)から医療機器として認証され、販売認可を受けています。
これまで2,000万人以上(※2025年3月時点)の患者さんに使用されておりますが、重篤な副作用の報告はありません。

04 入手経路等
インビザライン®は、米国アライン・テクノロジー社の製品です。
当院はインビザラインを用いた治療システムを、アライン・テクノロジー社のグループ会社である「アライン・テクノロジー・ジャパン株式会社」より入手しています。

05 医薬品副作用被害救済制度について
医薬品副作用被害救済制度について万が一重篤な副作用が出た場合は、国の医薬品副作用被害救済制度の対象外となります。

治療の流れ

01 無料相談

日本矯正歯科学会認定医の監修のもと、歯並びや噛み合わせの状態を丁寧に確認し、矯正の必要性や開始時期、治療の流れ、費用についてわかりやすくご説明します。矯正治療を検討されているかたに向けて、治療を安心して始められるよう丁寧にカウンセリングを行います。

02 精密検査

歯科用CTや口腔内スキャナー(iTero)を使用し、お口の状態を詳細に分析して歯の動きや骨格のバランスを評価します。検査結果をもとにコンサルテーションを行い、患者さま一人ひとりに適した治療計画をご提案します。

03 本格的な治療の開始

決定した治療計画に沿って、適切な矯正装置を装着し、歯並びや噛み合わせを整えていきます。平均的な治療期間は約2~3年で、定期的にご来院いただきながら装置の調整を行い、安心して治療を継続できるようサポートします。

04 リテーナーによる保定期間

矯正治療で歯並びが整った直後は、歯や骨がまだ安定しておらず、元の位置へ戻ろうとする「後戻り」が起こりやすい状態です。治療後はリテーナー(保定装置)を使用し、整えた歯並びが安定するようサポートします。定期検診で経過を確認しながら、長期的に良好な状態を維持できるようフォローいたします。

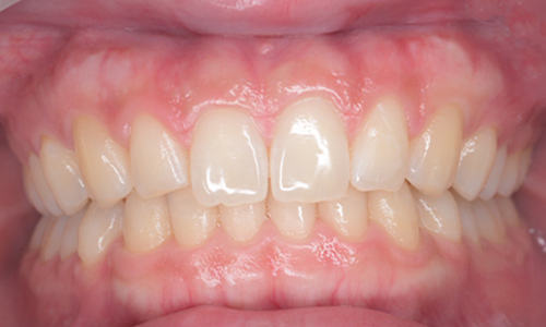
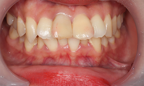
症例

ブラケット矯正

20代女性

Before imageAfter image
治療詳細 ブラケット矯正(MBS)による矯正治療
治療期間 1年10ヵ月
治療費用 ただいま準備中です
リスク・副作用 ・装置の装着後やワイヤーの調整後は、歯が動く際の痛みや、物を噛む時の違和感が出やすくなります。通常は数日から1週間程度で治まります。

・装置(ブラケットやワイヤー)が頬の粘膜やくちびるに当たることで、傷ができたり口内炎が生じたりすることがあります。慣れるまではワックス等での保護が必要です。

・装置の周りは複雑で汚れが溜まりやすいため、通常の歯ブラシだけでは不十分になりやすく、丁寧なセルフケアを怠るとむし歯や歯周病が進行するリスクが高まります。

・矯正力によって歯を動かす過程で、まれに歯の根が短くなることがあります。程度が重い場合は、治療計画の変更や中断を検討することがあります。

・歯を支える骨の量や歯ぐきの厚みによっては、歯を動かすことで歯ぐきが下がり、歯の根元が見えたり隙間(ブラックトライアングル)ができたりすることがあります。

・非常にまれですが、歯を動かす刺激によって歯の神経が死んでしまい、変色や根管治療が必要になる場合があります。

・矯正終了後に「リテーナー(保定装置)」の装着を怠ると、歯が元の位置に戻ろうとして歯並びが乱れることがあります。

・歯と骨が癒着している場合、想定通りに歯が動かないことがあります。その際は治療方針の見直しが必要になります。

※表示金額は全て税込みです。

マウスピース矯正

20代女性

Before imageAfter image
治療詳細 インビザラインによる矯正治療
治療期間 5ヵ月
治療費用 770,000円
リスク・副作用 ・1日20〜22時間以上の装着を守らないと、治療計画通りに歯が動かず、治療期間が大幅に延びることがあります。

・新しいマウスピースに交換した直後は、歯が締め付けられるような痛みや、発音のしにくさを感じることがあります。

・歯を動かすために歯面に付ける突起(アタッチメント)が、食事などで外れてしまうことがあります。

※表示金額は全て税込みです。

40代女性

Before

After

治療詳細 インビザラインによる矯正治療
治療期間 2年
治療費用 990,000円
リスク・副作用 ・1日20〜22時間以上の装着を守らないと、治療計画通りに歯が動かず、治療期間が大幅に延びることがあります。

・新しいマウスピースに交換した直後は、歯が締め付けられるような痛みや、発音のしにくさを感じることがあります。

・歯を動かすために歯面に付ける突起(アタッチメント)が、食事などで外れてしまうことがあります。

※表示金額は全て税込みです。

費用

料金表

相談料無料
精密検査料33,000円
調整料5,500円
患者さま都合のブラケット→インビザラインチェンジ片顎:220,000円
適宜抜歯(投薬3日分・頓服薬代含む)11,000円
適宜抜歯(埋伏)44,000円
消毒・抜糸550円
鎮痛剤(10回分)1,100円
投薬(3日分)2,200円
エクストルージョン121,000円
アップライト121,000円
光加速装置(オルソヒーリング)110,000円
※インビザライン・コンプリヘンシブの場合は追加料金なし

マウスピース矯正

インビザライン(コンプリヘンシブ)1,100,000円
インビザライン(ライト)片顎:385,000円
インビザライン(モデレート)片顎:440,000円

ブラケット矯正

マルチブラケットシステム(上下顎)990,000円
マルチブラケットシステム(小児矯正後)770,000円

矯正治療後の保定装置

プレオルソ44,000円
マウスピース片顎:22,000円
フィックスワイヤー片顎:22,000円
可撤式リテーナー片顎:33,000円
床矯正装置再作製(紛失・破損した場合)44,000円

※表示金額は全て税込みです。

お支払方法

当院では、
下記のお支払方法が可能です。

現金
現金でのお支払い
銀行振込
振込でのお支払い
クレジットカード
※自由診療のみ
VISA/JCB/
Mastercard/など
デンタルローン
低金利分割払いでの
お支払い
医療費控除について

1年間(1月1日~12月31日)に10万円以上の医療費を支払った場合は、医療費控除によって一定の金額の所得控除を受けることができます。ご自身の支払いに限らず、生計を共にするご家族が支払った医療費も対象となります。詳しくは国税庁のホームページをご覧ください。

注意点・リスク・副作用

・治療の初期段階では痛みや不快感が生じやすくなりますが、1 週間前後で慣れます。
・歯の動き方には個人差があるため、予想された治療期間より延長する場合があります。
・装置の使用状況や定期的な通院など、患者さまの協力程度で治療の結果や期間に影響します。
・矯正装置装着時は、歯みがきがしにくくなるためむし歯や歯周病のリスクが高まります。
・歯を動かすことで歯根が吸収して短くなったり、歯ぐきが下がったりすることがあります。
・まれに歯が骨と癒着していて歯が動かなくなったり、歯の神経が障害を受けたりすることがあります。
・装置を外す時に、歯の表面に小さな亀裂が入る可能性や、補綴物の一部が破損する可能性があります。
・装置が外れた後に、保定装置を使用しないと後戻りが生じる可能性が高くなります。
・矯正治療は一度始めると元の状態に戻すことは難しくなります。