入れ歯について

快適な毎日のための
入れ歯治療をご提供します
入れ歯は、歯を失った部分を補う人工の歯で、噛む力や見た目を整え、食事や会話を快適にします。保険適用のものから、装着感や見た目に配慮した自由診療の入れ歯まで、目的やご希望に合わせてお選びいただけます。名古屋市守山区にある当院では、患者さま一人ひとりの状態に合わせて入れ歯のご提案を行っていますので、まずはお気軽にお尋ねください。
TROUBLE このような場合はご相談ください
- 入れ歯が痛い
- 入れ歯で発音がしにくい
- 入れ歯に違和感がある
- 入れ歯が壊れた
- 入れ歯が外れやすい
- 見た目がよい入れ歯にしたい
- 食べ物が食べにくい
- 快適な入れ歯にしたい
当院の入れ歯

歯科技工士との連携で
精度の高い入れ歯をご提案
当院では歯科技工士と連携し、入れ歯を患者さま一人ひとりのお口に合わせて作製しています。歯科医師と歯科技工士が密に連携できるため、噛み合わせや装着感を確認しながら、より精密な入れ歯の作製を行うことができます。使用感や見た目にも配慮し、快適にお使いいただける入れ歯をご提供しています。

豊富な選択肢で
一人ひとりに合った入れ歯治療を
入れ歯に求める条件は、見た目の自然さや噛みやすさ、耐久性、装着時の快適さなど、一人ひとり異なります。当院では、レジン床義歯、金属床義歯、ノンクラスプデンチャーなど、さまざまな種類の入れ歯をご用意し、お口の状態やご希望に合わせて適した方法をご提案しています。入れ歯の新規作製や見直しを検討されているかたは、どうぞお気軽にご相談ください。
入れ歯の種類
レジン床義歯(保険の入れ歯)

保険適用で作製できる基本的な入れ歯で、費用を抑えられる点が大きな特徴です。床に厚みがあるため違和感を覚えることもありますが、修理や調整がしやすく、初めて入れ歯を使うかたにも取り入れやすい選択肢です。
金属床義歯

床部分に金属を使用することで、薄くて丈夫、かつ違和感の少ない装着感を得られます。熱を伝えやすく、食事の温度を感じやすいのも魅力です。長く快適に使いたいかたに適した自由診療の入れ歯です。
ノンクラスプデンチャー

金属のバネを使わず、歯ぐきに近い色の樹脂で作られた審美性の高い入れ歯です。軽くて装着感も良く、笑った時に入れ歯が目立つのが気になるかたや、見た目を重視したいかたに選ばれています。
BPSデンチャー(精密入れ歯)

噛み合わせや筋肉の動きまで精密に計測して作製される、高精度な入れ歯です。自然な見た目と高いフィット感が得られ、しっかり噛めることが特徴です。快適性と審美性の両方を求めるかたに適しています。
マグネットデンチャー

磁石の力で入れ歯を安定させるタイプで、歯根やインプラントに磁石を取り付けて固定します。着脱が簡単で見た目も自然なため、外れやすさに悩むかたや、しっかり固定したいかたに適しています。
インプラントオーバーデンチャー

インプラントを支えとして装着する入れ歯で、高い安定性がありしっかり噛めるのが特長です。外れにくく、ずれや違和感も少ないため、快適に使いたいかたや、一般的な入れ歯でお困りのかたに向いています。
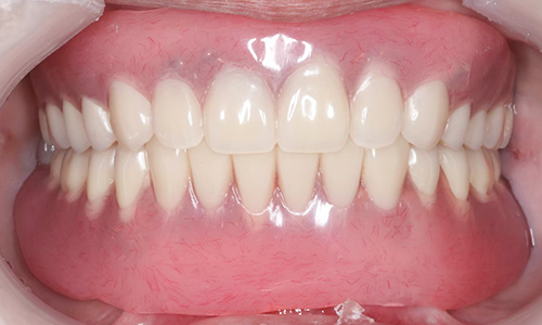
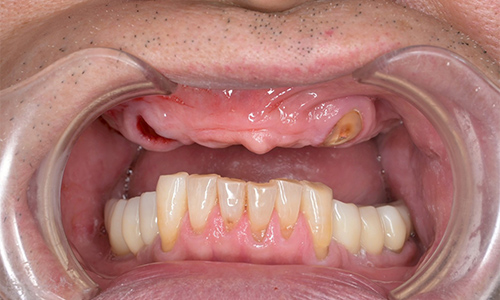
症例
費用
料金表
| 金属床義歯 | コバルトクロム:440,000円 チタン:550,000円 |
|---|---|
| ノンクラスプデンチャー | 308,000円 |
| CADコピーデンチャー | 242,000円 |
| インプラントオーバーデンチャー | ただいま準備中です |
| BPSデンチャー(精密入れ歯) | 495,000円 |
| マグネットデンチャー | ただいま準備中です |
| インプラントオーバーデンチャー | ただいま準備中です |
※表示金額は全て税込みです。
お支払方法
当院では、
下記のお支払方法が可能です。
- 現金
- 現金でのお支払い
- 銀行振込
- 振込でのお支払い
- クレジットカード
- ※自由診療のみ
VISA/JCB/
Mastercard/など
- デンタルローン
- 低金利分割払いでの
お支払い
医療費控除について
1年間(1月1日~12月31日)に10万円以上の医療費を支払った場合は、医療費控除によって一定の金額の所得控除を受けることができます。ご自身の支払いに限らず、生計を共にするご家族が支払った医療費も対象となります。詳しくは国税庁のホームページをご覧ください。
注意点・リスク・副作用
・加齢によるお口の中の変化により、定期的に入れ歯の調整が必要になる場合があります。
・強い力をかけると割れる(欠ける)可能性があります。
・土台となるご自身の歯に負担がかかる場合があります。
・耐久性がやや劣るため数年後に再作製が必要になる場合があります。
・金属の種類によってはアレルギーが出る可能性があります。
・入れ歯の種類などにより、土台となるご自身の歯を削る場合があります。
・治療時に出血を伴う可能性があります。
・入れ歯装着時に違和感が出る場合があります。
・顎の骨が痩せると入れ歯が合わなくなり、調整(修理)が必要になる場合があります。




